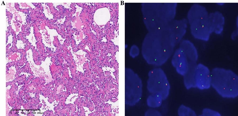
原文鏈接:https://link.springer.com/article/10.1007/s00432-022-03969-4 案例介紹 2019年6月,一名40歲女性在例行體檢時發現其左肺下葉有一個13 mm?×?7 mm的磨玻璃影結節。該患者從不吸煙,體檢時也無咳嗽咳痰、胸悶胸痛等明顯癥狀。拿到體檢報告后,患者到金華市中心醫院檢查并于同年7月進行了胸腔鏡左下肺葉切除手術。術后常規病理結合冰凍切緣報告顯示左下肺浸潤性腺癌(直徑1.1cm),貼壁型為主,未見脈管癌栓,神經侵犯(-),胸膜累犯(-),切緣陰性,綜合判定其分期為pT1bN0M0。 病理分析(H&E染色和FISH) 為鑒定患者的肺癌致病基因并為隨后的治療和隨訪提供參考,切除的原發灶癌組織被送至金華市中心醫院的精準中心進行靶向二代測序(NGS)。檢測結果發現了一種新的RET融合方式:MINPP1-RET(intergenic; R12)融合。在非小細胞肺癌(non-small cell lung cancer, NSCLC)中,RET基因融合是重要的發病機制和診療靶點。隨后,精準中心利用自有的FISH平臺檢測進行了驗證實驗,證實該融合形式確實存在。 MINPP1-RET(intergenic; R12)融合 這篇文章是世界上首次在肺癌病例中鑒定到MINPP1基因上游的基因間隔片段與RET基因的外顯子12-21發生融合的報導。該患者在確診肺癌前幾乎沒有明顯的癥狀,提示了肺癌早期診斷的重要性和困難性。這種致癌性RET基因融合形式擴展了NSCLC患者的基因組分子頻譜,為未來肺癌的臨床治療和藥物開發奠定了基礎。 自2017年成立至今,金華市精準診療中心充分發揮了金華市中心醫院的臨床醫療優勢,以及迪安診斷的技術、人才、資金優勢,形成了“1+1>2”的效果,進一步提升了醫院在腫瘤精準診斷、科研與技術轉化等方面的技術水平,彌補了區域醫院在腫瘤基因測序等臨床檢測上的短板,讓金華及周邊地區的百姓在家門口就能享受到與國際接軌的優質醫療服務。 “精準醫療”是行業發展的方向,建設精準醫學中心是醫院推進學科發展的必然需求。目前,迪安診斷已攜手30余家三級醫院成功建設了精準中心。 迪安診斷精準醫學中心的建設以質譜平臺和分子診斷平臺為依托,為合作伙伴提供精準實驗室的整體解決方案,為精準醫學中心的運營和發展賦能;同時結合生物樣本庫資源,整合與挖掘醫學大數據信息,通過基礎研究、成果轉化和臨床應用多種方式,推進精準醫學技術在臨床的全面、科學合理應用,進而推動醫療產業轉化和升級。

